審美治療

気になる口元を美しく

気になる口元を美しく

「銀歯が目立って気になる」「歯茎が黒ずんでいる」「すきっ歯を治したい」という口元のお悩みがありましたら、かなざわ歯科にご相談ください。
当院の審美治療では、銀歯をセラミック素材の白い歯に交換するなど口元の美しさを改善するための治療を行っています。

健康的な機能美を追求する審美治療

審美治療は単に歯を白くしたり、歯茎を健康的なピンク色にしたりと、見た目をよくすることだけを目的としているわけではありません。
見た目の美しさとともに、歯の乱れや咬み合わせを改善し、咬む、発音するなど歯の機能を向上させることも審美治療の役割のひとつです。つまり健康的な機能美を追求しています。

審美治療にはいろいろなメニューがあります。
患者様のお口の状態とご要望に合わせたご提案をいたしますので、まずはご相談ください。

審美治療のメニュー

審美治療には下記のようにいくつかの治療法があります。

ラミネートべニア

ラミネートベニアは、歯の表面を薄く削り、その上から白く美しいセラミック製のシェル状の板を「つけ爪」のように歯に貼り付ける治療法です。
歯を白くするだけでなく、歯のすき間を改善したり、歯の形を整えることができます。耐久性にも優れ、治療期間が短いのが特長です。

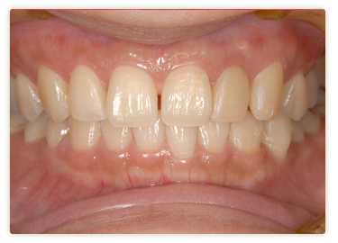
ラミネートべニア

ビフォー

ラミネートべニア

アフター

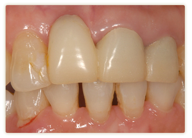
ダイレクトボンディング

ダイレクトボンディングは多種類の歯科用プラスチックを直接お口の中で盛りつけて、天然歯のような自然な色や形を再現する治療法です。
金属やセラミックの被せ物をするときのように歯を大きく削らずに済み、前歯が少し欠けたり、すき間があったりする場合にも適応します。

ダイレクトボンディング

ビフォー

ダイレクトボンディング

アフター

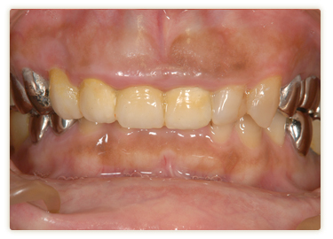
ガミースマイル治療

ガミースマイルとは笑ったときや話をするときに、歯茎が見えすぎる口元のことです。
症状によって、矯正治療か歯肉整形を行います。歯肉整形には「粘膜切除法」と「歯茎部切除法」の2種類があります。

粘膜切除法」:上唇と歯肉の間の粘膜をいったん切除したあと、上唇が引き上がらないように縫合します。
「歯茎部切除法」:歯と歯茎の境目部分を切除します。

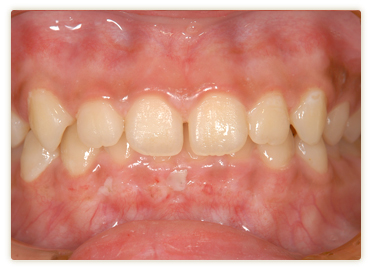
ガミースマイル治療

ビフォー

ガミースマイル治療

アフター

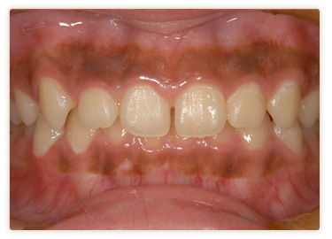
歯肉ピーリング

健康な歯肉はピンク色をしています。しかし、タバコのヤニや紫外線によってメラニン色素が沈着し黒ずんでしまうことがあります。
歯肉(ガム)ピーリングは、専用の薬剤を歯茎に塗布し角質を除去。1週間程度で健康的なピンク色の歯肉に生まれ変わります。

歯肉ピーリング

ビフォー

歯肉ピーリング

アフター

歯肉の整形

歯肉の位置が良くないため、歯肉の位置を揃えました。

歯肉の整形

ビフォー

歯肉の整形

アフター

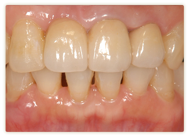
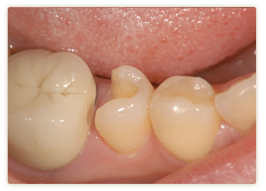
ハイブリッドインレー

セラミックとプラスチックの混合物でつくった詰め物です。「ハイブリッドセラミックインレー」とも呼ばれています。
適度なやわらかさがあるので、咬み合う歯に負担をかけません。セラミックだけでできたインレーより美しさはやや劣り、唾液を吸収することで経年的に変色します。

ハイブリッドインレー

ビフォー

ハイブリッドインレー

アフター

エンジェルクラウン

ハイブリッドインレーは歯科用CAD/CAMシステム(※)を使った被せ物(クラウン)です。
口腔内をデジタル撮影し、そのデータをもとにクラウンを設計します。高品質のオールセラミックのブロックをその設計通り自動で削り出します。リーズナブルなセラミック製クラウンです。

※口腔内に装着される修復物や補綴物の設計および加工に用いられる複数の装置をCAD(コンピュータ支援設計)やCAM(コンピュータ支援製造)の技術を用いて統合したシステムのこと。

エンジェルクラウン

保険適用もできる「CAD/CAMハイブリッドレジン」

「ハイブリッドレジン」とは、一般的な保険治療で使われている歯科用プラスチック「レジン」よりも丈夫で自然な見た目の素材です。
かつては自費治療のみで使用されていましたが、平成24年4月から一部の歯においてCAD/CAM装置使用の場合に限り保険適用が可能になりました。

CAD/CAMハイブリッドレジンの被せ物は、お口の中を3Dスキャンし、コンピューターで設計・作成します。
コンピューター制御により精密な作成が行えるので、使い心地がよく長持ちする被せものができます。

健康保険が適用される部位はコチラ

健康保険が適用される部位

このような方におすすめです

CAD/CAMハイブリッドレジンでの治療は、「自然な見た目の被せものにしたいが、コストはあまりかけたくない」という方におすすめです。
自費治療のセラミックよりは見た目や耐久性で劣りますが、一般的な保険治療で使われる「レジン」よりも高品質な治療が可能になります。

当院では保険適用で自然な被せものがつくれるCAD/CAMハイブリッドレジンを導入しておりますので、気になる方はお気軽にお問い合わせください。

料金について

ハイブリッドインレー 30,000円(税抜)
33,000円(税込)
ハイブリッドクラウン 60,000円(税抜)
66,000円(税込)
オールセラミッククラウン 90,000円(税抜)
99,000円(税込)
ジルコニアクラウン 90,000円(税抜)
99,000円(税込)